Current

Current

Current

El IBiS reúne a expertos internacionales para impulsar tratamientos más eficaces contra el cáncer de mama (TNBC)

El pasado 10 de abril, el Instituto de Biomedicina de Sevilla acogió el Spring Triple Negative Breast Cancer Symposium 2026, una jornada científica internacional centrada en comprender mejor la complejidad …

Current

Un estudio evalúa antibióticos de nueva generación frente a las bacterias multirresistentes

Un estudio multicéntrico liderado por los investigadores del Instituto de Biomedicina de Sevilla (IBiS) y del Hospital Universitario Virgen del Rocío Ángel Rodríguez Villodres, Marta Rodríguez Rodríguez, Carmen Fernández Bermudo, …

Current

El grupo PsyNal del IBiS promueve un espacio de diálogo sobre salud mental y comunidad en el Polígono Sur

El encuentro “Sastipen Thaj Mestipen: Bienestar Emocional y Comunidad en el Polígono Sur”, celebrado en el Auditorio de Factoría Cultural, se ha consolidado como un espacio relevante de diálogo, participación …

Current

Un consorcio de entidades, con participación del IBiS, impulsa el proyecto NOVA-VRE

La asociación de varias instituciones y empresas de biotecnología y biomedicina en España ha puesto en marcha el proyecto NOVA-VRE, una iniciativa de I+D orientada al desarrollo de nuevas terapias …

Current

SOS1, una nueva diana terapéutica que abre vías prometedoras contra el cáncer

Un reciente estudio científico sitúa a la proteína SOS1 como uno de los objetivos más prometedores en la lucha contra el cáncer, especialmente en aquellos tumores impulsados por alteraciones en …

Current

Un centenar de profesionales del Servicio Andaluz de Salud (SAS) analizan los itinerarios de formación en investigación

El Itinerario de Formación en Metodología de la Investigación (IFEMI), una iniciativa impulsada por la Consejería de Sanidad, Presidencia y Emergencias de la Junta de Andalucía y diseñada y desarrollada …

Current

Alumnado y profesorado del proyecto NanoDualise visita el IBiS

El alumnado y profesorado participante en el proyecto NanoDualise han realizado una visita formativa al Instituto de Biomedicina de Sevilla (IBiS) para conocer nuestro centro, presentar su proyecto y establecer …

Current

Una investigación del CNIO, con participación del IBiS, vincula la fertilidad con células inmunitarias en el cerebro

Una investigación del Centro Nacional de Investigaciones Oncológicas (CNIO) con modelos animales acaba de descubrir que en este sistema de regulación hormonal participan también dos elementos hasta ahora insospechados: la …

Current

Celebrada la edición XXII del evento IBiS Researchers Forum

El Instituto de Biomedicina de Sevilla (IBiS) acogió los pasados días 4 y 5 de marzo de 2026 la XXII edición del IBiS Researchers Forum - "Inter-organ communication in health …

Current

El IBiS da la bienvenida a nuevos doctorandos y estudiantes de máster en una jornada de acogida

El Instituto de Biomedicina de Sevilla (IBiS) celebró recientemente una Jornada/Acto de Bienvenida dirigida a los estudiantes de doctorado que se incorporan al centro, así como a los alumnos del …

Current

Revelan claves sobre la heterogeneidad celular y su impacto en el cáncer

El equipo de investigación liderado por la Dra. Mari Cruz Muñoz Centeno y el Dr. Sebastián Chávez de Diego, del Grupo de Expresión Génica del IBiS, ha dado un paso …

Current

Investigadoras e investigadores del Instituto de Biomedicina de Sevilla (IBiS) identifican una nueva vulnerabilidad molecular en el Tumor Fibroso Solitario

El Grupo de Patología Molecular de los Sarcomas y Otros Tumores del IBiS, dirigido por el Dr. Enrique de Álava —investigador del Instituto de Biomedicina de Sevilla/HUVR/US, jefe del Servicio …

Current

El IBiS refuerza su compromiso con la innovación en el III Encuentro del Foro del Espacio de Sevilla

El Instituto de Biomedicina de Sevilla (IBiS), ha estado presente, por medio del director de la institución, Rafael Fernández Chacón, en el III Encuentro del Foro del Espacio de Sevilla, …

Current

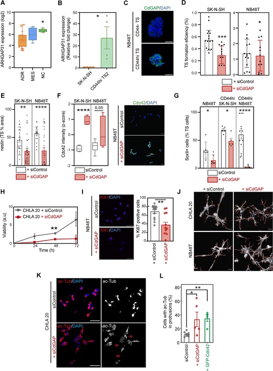
Un estudio del IBiS identifica nuevas claves de la agresividad del neuroblastoma infantil

Un nuevo estudio internacional liderado por los doctores Francisco M. Vega y Ricardo Pardal, del grupo IBiS de "Fisiopatología de células madre neurales", junto con María A. Gómez-Muñoz como primera …

Current

El Hospital Virgen Macarena colabora en una macro investigación oncológica publicada en The Lancet

El Hospital Universitario Virgen Macarena, junto al Instituto de Biomedicina de Sevilla (IBiS), han participado en un macroestudio europeo que ha analizado de forma estandarizada y anonimizada información relacionada con …

Current

La investigadora del IBiS Emma Motrico consigue una de las ayudas 'ERC Proof of Concept'

Emma Motrico, profesora y investigadora del Departamento de Psicología Evolutiva y de la Educación de la Universidad de Sevilla y del grupo Perinatal IBiS Lab en el Instituto de Biomedicina …

Donate

Promote science with a donation and be part of the change.